ChatGPT Summaries
MPs call for NHS to rely on UK tech firms instead of US giantsDigital Health - (Thursday November 27, 2025) - Digital Health/ Frequent Updates | |
![]() | The Science, Innovation and Technology Committee has called for UK companies to be prioritised for big NHS technology contracts, rather than US giants such as Microsoft and Palantir. Ian Murray, minister for digital government and... The call for prioritizing UK tech firms over US giants like Microsoft and Palantir in NHS contracts is gaining momentum. MPs are questioning the reliance on foreign companies, citing concerns over cybersecurity and public confidence. Labour MP Emily Darlington emphasized the importance of fostering the UK tech industry for economic growth and security. Samantha Niblett highlighted the pitfalls of long-term contracts with US firms, which can lead to inflated costs for taxpayers. As the NHS navigates its digital transformation, the focus on local partnerships could reshape the landscape of healthcare IT. #HealthTech #NHS #DigitalTransformation #Cybersecurity #UKTech #HealthcareIT #PublicSectorInnovation As a healthcare IT expert, write a 100-word extractive summarization based on a blog post from the given text for posting on LinkedIn. The summary should capture key ideas from the entire post and its headings while staying focused, clear, and engaging. Use 5-7 relevant and popular online hashtags that are most likely to drive visibility and engagement. Avoid adding URLs or calls to action, and ensure the language is optimized for LinkedIn engagement style with a variable potential hook or attention-grabbing statement. The target audience is other healthcare IT professionals. Following is the title and text. { "id": "chatcmpl-CgUTsEOfPScpWuyEcE7ezAj6xpwyz", "object": "chat.completion", "created": 1764242980, "model": "gpt-4o-mini-2024-07-18", "choices": [ { "index": 0, "message": { "role": "assistant", "content": "The call for prioritizing UK tech firms over US giants like Microsoft and Palantir in NHS contracts is gaining momentum. MPs are questioning the reliance on foreign companies, citing concerns over cybersecurity and public confidence. Labour MP Emily Darlington emphasized the importance of fostering the UK tech industry for economic growth and security. Samantha Niblett highlighted the pitfalls of long-term contracts with US firms, which can lead to inflated costs for taxpayers. As the NHS navigates its digital transformation, the focus on local partnerships could reshape the landscape of healthcare IT. #HealthTech #NHS #DigitalTransformation #Cybersecurity #UKTech #HealthcareIT #PublicSectorInnovation", "refusal": null, "annotations": [] }, "logprobs": null, "finish_reason": "stop" } ], "usage": { "prompt_tokens": 740, "completion_tokens": 129, "total_tokens": 869, "prompt_tokens_details": { "cached_tokens": 0, "audio_tokens": 0 }, "completion_tokens_details": { "reasoning_tokens": 0, "audio_tokens": 0, "accepted_prediction_tokens": 0, "rejected_prediction_tokens": 0 } }, "service_tier": "default", "system_fingerprint": "fp_560af6e559" } Prompt Tokens - 740 |
One Global Service Provider Reaches PeakDistilINFO Hospital IT - (Thursday November 27, 2025) - Daily Reads/ DistilINFO Hospital IT | |
![]() | Introduction One Global Service Provider has emerged as a standout performer in the healthcare services sector, achieving a new 52-week high of Rs.650.6. This milestone represents the culmination of sustained momentum that has captured investor... One Global Service Provider has achieved a remarkable 52-week high of Rs.650.6, driven by a nine-day rally and robust operational performance. With a staggering 231.77% return over the past year, the company outperformed the Sensex significantly. Key financial highlights include record quarterly sales of Rs.134.98 crores and a net profit growth of 771.81%. Promoter confidence is evident, with a 51.19% stake increase, reflecting optimism about future prospects. The company's low debt-to-equity ratio and impressive return on equity of 43.3% further underscore its strong market position.#HealthcareIT #StockMarket #FinancialPerformance #InvestorConfidence #MarketTrends #HealthcareServices #BusinessGrowth As a healthcare IT expert, write a 100-word extractive summarization based on a blog post from the given text for posting on LinkedIn. The summary should capture key ideas from the entire post and its headings while staying focused, clear, and engaging. Use 5-7 relevant and popular online hashtags that are most likely to drive visibility and engagement. Avoid adding URLs or calls to action, and ensure the language is optimized for LinkedIn engagement style with a variable potential hook or attention-grabbing statement. The target audience is other healthcare IT professionals. Following is the title and text. { "id": "chatcmpl-CgT4ZLdmJhUYH34ghJygbqIWzrInG", "object": "chat.completion", "created": 1764237567, "model": "gpt-4o-mini-2024-07-18", "choices": [ { "index": 0, "message": { "role": "assistant", "content": "One Global Service Provider has achieved a remarkable 52-week high of Rs.650.6, driven by a nine-day rally and robust operational performance. With a staggering 231.77% return over the past year, the company outperformed the Sensex significantly. Key financial highlights include record quarterly sales of Rs.134.98 crores and a net profit growth of 771.81%. Promoter confidence is evident, with a 51.19% stake increase, reflecting optimism about future prospects. The company's low debt-to-equity ratio and impressive return on equity of 43.3% further underscore its strong market position. nn#HealthcareIT #StockMarket #FinancialPerformance #InvestorConfidence #MarketTrends #HealthcareServices #BusinessGrowth", "refusal": null, "annotations": [] }, "logprobs": null, "finish_reason": "stop" } ], "usage": { "prompt_tokens": 1942, "completion_tokens": 150, "total_tokens": 2092, "prompt_tokens_details": { "cached_tokens": 0, "audio_tokens": 0 }, "completion_tokens_details": { "reasoning_tokens": 0, "audio_tokens": 0, "accepted_prediction_tokens": 0, "rejected_prediction_tokens": 0 } }, "service_tier": "default", "system_fingerprint": "fp_560af6e559" } Prompt Tokens - 1942 |
Firstsource Named Leader in Digital CXDistilINFO Hospital IT - (Thursday November 27, 2025) - Daily Reads/ DistilINFO Hospital IT | |
![]() | Introduction to Firstsource’s ISG RecognitionFirstsource Solutions Limited, a prominent global business process management services provider within the RP-Sanjiv Goenka Group portfolio, has achieved significant industry recognition by being designated as a ‘Leader’ in Digital... Firstsource Solutions Limited has been recognized as a 'Leader' in Digital Operations by the ISG Provider Lens 2025 Contact Center Customer Experience Services Quadrant Report. This accolade underscores Firstsource's innovative approach to modernizing contact centers and enhancing customer experiences across various sectors, including healthcare. Key differentiators include the UnBPO framework, strategic acquisitions, and a commitment to AI-driven solutions. This recognition positions Firstsource at the forefront of transforming customer engagement into a technology-enabled business function, emphasizing operational excellence and measurable outcomes.#DigitalTransformation #CustomerExperience #HealthcareIT #AI #BusinessProcessManagement #Innovation #Leadership As a healthcare IT expert, write a 100-word extractive summarization based on a blog post from the given text for posting on LinkedIn. The summary should capture key ideas from the entire post and its headings while staying focused, clear, and engaging. Use 5-7 relevant and popular online hashtags that are most likely to drive visibility and engagement. Avoid adding URLs or calls to action, and ensure the language is optimized for LinkedIn engagement style with a variable potential hook or attention-grabbing statement. The target audience is other healthcare IT professionals. Following is the title and text. { "id": "chatcmpl-CgTDSrRho53y5vOPZnCQhcSjTuWaG", "object": "chat.completion", "created": 1764238118, "model": "gpt-4o-mini-2024-07-18", "choices": [ { "index": 0, "message": { "role": "assistant", "content": "Firstsource Solutions Limited has been recognized as a 'Leader' in Digital Operations by the ISG Provider Lens 2025 Contact Center Customer Experience Services Quadrant Report. This accolade underscores Firstsource's innovative approach to modernizing contact centers and enhancing customer experiences across various sectors, including healthcare. Key differentiators include the UnBPO framework, strategic acquisitions, and a commitment to AI-driven solutions. This recognition positions Firstsource at the forefront of transforming customer engagement into a technology-enabled business function, emphasizing operational excellence and measurable outcomes. nn#DigitalTransformation #CustomerExperience #HealthcareIT #AI #BusinessProcessManagement #Innovation #Leadership", "refusal": null, "annotations": [] }, "logprobs": null, "finish_reason": "stop" } ], "usage": { "prompt_tokens": 1286, "completion_tokens": 125, "total_tokens": 1411, "prompt_tokens_details": { "cached_tokens": 0, "audio_tokens": 0 }, "completion_tokens_details": { "reasoning_tokens": 0, "audio_tokens": 0, "accepted_prediction_tokens": 0, "rejected_prediction_tokens": 0 } }, "service_tier": "default", "system_fingerprint": "fp_560af6e559" } Prompt Tokens - 1286 |
AI testing platform removes commercial bias for NHS useDigital Health - (Thursday November 27, 2025) - AI/ Digital Health/ Frequent Updates | |
![]() | Professor Alicja Rudnicka from the School of Health and Medical Sciences at City St Georges, University of London (Credit: Professor Alicja Rudnicka, City St George’s, University of London)Researchers have developed a testing platform... Exciting advancements in AI for healthcare! Researchers have developed a groundbreaking testing platform that ensures commercial AI algorithms are unbiased and suitable for NHS use, specifically for detecting diabetic eye disease. This innovative approach evaluates AI systems against human performance, demonstrating their safety and efficacy across diverse ethnicities and age groups. With accuracy rates surpassing human grading, this platform could revolutionize disease detection while saving valuable time and resources. As we move towards equitable healthcare, this model sets a precedent for AI evaluation in various medical fields.#HealthTech #AIinHealthcare #NHS #DigitalHealth #EquityInHealthcare #DiabetesCare #Innovation As a healthcare IT expert, write a 100-word extractive summarization based on a blog post from the given text for posting on LinkedIn. The summary should capture key ideas from the entire post and its headings while staying focused, clear, and engaging. Use 5-7 relevant and popular online hashtags that are most likely to drive visibility and engagement. Avoid adding URLs or calls to action, and ensure the language is optimized for LinkedIn engagement style with a variable potential hook or attention-grabbing statement. The target audience is other healthcare IT professionals. Following is the title and text. { "id": "chatcmpl-CgS8Se2oOWXd8F8ZcK3Vbu9c54ZIm", "object": "chat.completion", "created": 1764233964, "model": "gpt-4o-mini-2024-07-18", "choices": [ { "index": 0, "message": { "role": "assistant", "content": "Exciting advancements in AI for healthcare! Researchers have developed a groundbreaking testing platform that ensures commercial AI algorithms are unbiased and suitable for NHS use, specifically for detecting diabetic eye disease. This innovative approach evaluates AI systems against human performance, demonstrating their safety and efficacy across diverse ethnicities and age groups. With accuracy rates surpassing human grading, this platform could revolutionize disease detection while saving valuable time and resources. As we move towards equitable healthcare, this model sets a precedent for AI evaluation in various medical fields. nn#HealthTech #AIinHealthcare #NHS #DigitalHealth #EquityInHealthcare #DiabetesCare #Innovation", "refusal": null, "annotations": [] }, "logprobs": null, "finish_reason": "stop" } ], "usage": { "prompt_tokens": 827, "completion_tokens": 125, "total_tokens": 952, "prompt_tokens_details": { "cached_tokens": 0, "audio_tokens": 0 }, "completion_tokens_details": { "reasoning_tokens": 0, "audio_tokens": 0, "accepted_prediction_tokens": 0, "rejected_prediction_tokens": 0 } }, "service_tier": "default", "system_fingerprint": "fp_560af6e559" } Prompt Tokens - 827 |
National speakers to explore digital prevention productsDigital Health - (Thursday November 27, 2025) - Daily Reads/ Digital Health | |
![]() | Join NHS England directors Rachel Hope and Liz Clow at Rewired 2026 as they discuss the development of national digital products shaping the shift to prevention. Taking place on the Digital Transformation main stage on 25 March,... Join NHS England directors Rachel Hope and Liz Clow at Rewired 2026 as they unveil the Digital Prevention Service's priorities following a £45m contract aimed at enhancing access to vaccinations and screenings via the NHS App. This session will highlight the NHS App's evolution into a personalized health companion, aligning with the 10-Year Plan to streamline patient care management. Discover how this vision will shape user-facing digital products across the NHS. Don’t miss the chance to engage with key insights from the forefront of digital health transformation!#DigitalHealth #NHS #HealthTech #HealthInnovation #PreventiveCare #DigitalTransformation #Rewired2026 As a healthcare IT expert, write a 100-word extractive summarization based on a blog post from the given text for posting on LinkedIn. The summary should capture key ideas from the entire post and its headings while staying focused, clear, and engaging. Use 5-7 relevant and popular online hashtags that are most likely to drive visibility and engagement. Avoid adding URLs or calls to action, and ensure the language is optimized for LinkedIn engagement style with a variable potential hook or attention-grabbing statement. The target audience is other healthcare IT professionals. Following is the title and text. { "id": "chatcmpl-CgRsmRCx4XuCRuoDh3aYmj8s9pguY", "object": "chat.completion", "created": 1764232992, "model": "gpt-4o-mini-2024-07-18", "choices": [ { "index": 0, "message": { "role": "assistant", "content": "Join NHS England directors Rachel Hope and Liz Clow at Rewired 2026 as they unveil the Digital Prevention Service's priorities following a £45m contract aimed at enhancing access to vaccinations and screenings via the NHS App. This session will highlight the NHS App's evolution into a personalized health companion, aligning with the 10-Year Plan to streamline patient care management. Discover how this vision will shape user-facing digital products across the NHS. Don’t miss the chance to engage with key insights from the forefront of digital health transformation! nn#DigitalHealth #NHS #HealthTech #HealthInnovation #PreventiveCare #DigitalTransformation #Rewired2026", "refusal": null, "annotations": [] }, "logprobs": null, "finish_reason": "stop" } ], "usage": { "prompt_tokens": 498, "completion_tokens": 129, "total_tokens": 627, "prompt_tokens_details": { "cached_tokens": 0, "audio_tokens": 0 }, "completion_tokens_details": { "reasoning_tokens": 0, "audio_tokens": 0, "accepted_prediction_tokens": 0, "rejected_prediction_tokens": 0 } }, "service_tier": "default", "system_fingerprint": "fp_560af6e559" } Prompt Tokens - 498 |
Fair positive unlabeled learning for predicting undiagnosed Alzheimer’s disease in diverse electronic health recordsnpj Digital Medicine - (Thursday November 27, 2025) - Frequent Updates/ npj Digital Medicine | |
![]() | Alzheimer’s Disease (AD), the most common neurodegenerative disease, is underdiagnosed and more prominent in underrepresented groups. We performed semi-supervised positive unlabeled learning (SSPUL) coupled with racial bias mitigation for equitable prediction of undiagnosed AD... Exciting advancements in predicting undiagnosed Alzheimer's disease (AD) using Fair Positive Unlabeled Learning (SSPUL) have emerged from UCLA Health. This innovative approach not only enhances sensitivity (0.77-0.81) and area under the precision-recall curve (0.81-0.87) across diverse populations but also mitigates racial bias, ensuring equitable healthcare outcomes. By identifying shared and distinct features among AD patients, SSPUL paves the way for improved diagnostics. This research showcases the potential of machine learning in addressing health disparities and advancing precision medicine.#HealthcareIT #MachineLearning #AlzheimersDisease #HealthEquity #DataScience #PredictiveAnalytics #DigitalHealth As a healthcare IT expert, write a 100-word extractive summarization based on a blog post from the given text for posting on LinkedIn. The summary should capture key ideas from the entire post and its headings while staying focused, clear, and engaging. Use 5-7 relevant and popular online hashtags that are most likely to drive visibility and engagement. Avoid adding URLs or calls to action, and ensure the language is optimized for LinkedIn engagement style with a variable potential hook or attention-grabbing statement. The target audience is other healthcare IT professionals. Following is the title and text. { "id": "chatcmpl-CgmBEYrRLczksoVLJwrlbxVeQwKyy", "object": "chat.completion", "created": 1764311016, "model": "gpt-4o-mini-2024-07-18", "choices": [ { "index": 0, "message": { "role": "assistant", "content": "Exciting advancements in predicting undiagnosed Alzheimer's disease (AD) using Fair Positive Unlabeled Learning (SSPUL) have emerged from UCLA Health. This innovative approach not only enhances sensitivity (0.77-0.81) and area under the precision-recall curve (0.81-0.87) across diverse populations but also mitigates racial bias, ensuring equitable healthcare outcomes. By identifying shared and distinct features among AD patients, SSPUL paves the way for improved diagnostics. This research showcases the potential of machine learning in addressing health disparities and advancing precision medicine. nn#HealthcareIT #MachineLearning #AlzheimersDisease #HealthEquity #DataScience #PredictiveAnalytics #DigitalHealth", "refusal": null, "annotations": [] }, "logprobs": null, "finish_reason": "stop" } ], "usage": { "prompt_tokens": 11825, "completion_tokens": 143, "total_tokens": 11968, "prompt_tokens_details": { "cached_tokens": 0, "audio_tokens": 0 }, "completion_tokens_details": { "reasoning_tokens": 0, "audio_tokens": 0, "accepted_prediction_tokens": 0, "rejected_prediction_tokens": 0 } }, "service_tier": "default", "system_fingerprint": "fp_50906f2aac" } Prompt Tokens - 11825 |
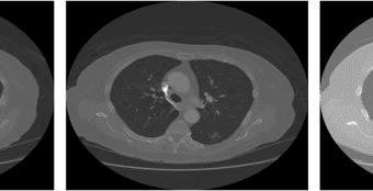
Hierarchical reasoning for lung cancer detection: from multi-scale perception to hypergraph inference with CR-YOLOnpj Digital Medicine - (Thursday November 27, 2025) - Frequent Updates/ npj Digital Medicine | |
![]() | Accurate detection of lung cancer from Computed Tomography (CT) scans is vital for improving patient survival but remains challenging for deep learning models, which struggle with scale variations of pulmonary nodules and the complex... Unlocking the future of lung cancer detection, CR-YOLO integrates hierarchical reasoning with advanced deep learning techniques. By utilizing a Cognitive Reasoning C2f module, this innovative framework enhances multi-scale perception and high-order relational inference, achieving a remarkable mean Average Precision (mAP) of 92.5%. This leap in accuracy not only improves early diagnosis but also offers greater interpretability through Grad-CAM analysis. CR-YOLO's design mirrors a radiologist's workflow, promising to revolutionize clinical practice in lung cancer diagnostics.#HealthTech #AIinHealthcare #LungCancer #DeepLearning #MedicalImaging #Radiology #HealthcareInnovation As a healthcare IT expert, write a 100-word extractive summarization based on a blog post from the given text for posting on LinkedIn. The summary should capture key ideas from the entire post and its headings while staying focused, clear, and engaging. Use 5-7 relevant and popular online hashtags that are most likely to drive visibility and engagement. Avoid adding URLs or calls to action, and ensure the language is optimized for LinkedIn engagement style with a variable potential hook or attention-grabbing statement. The target audience is other healthcare IT professionals. Following is the title and text. { "id": "chatcmpl-CghFVMKZOjFDFBacGZQpbHWSetXXi", "object": "chat.completion", "created": 1764292061, "model": "gpt-4o-mini-2024-07-18", "choices": [ { "index": 0, "message": { "role": "assistant", "content": "Unlocking the future of lung cancer detection, CR-YOLO integrates hierarchical reasoning with advanced deep learning techniques. By utilizing a Cognitive Reasoning C2f module, this innovative framework enhances multi-scale perception and high-order relational inference, achieving a remarkable mean Average Precision (mAP) of 92.5%. This leap in accuracy not only improves early diagnosis but also offers greater interpretability through Grad-CAM analysis. CR-YOLO's design mirrors a radiologist's workflow, promising to revolutionize clinical practice in lung cancer diagnostics. nn#HealthTech #AIinHealthcare #LungCancer #DeepLearning #MedicalImaging #Radiology #HealthcareInnovation", "refusal": null, "annotations": [] }, "logprobs": null, "finish_reason": "stop" } ], "usage": { "prompt_tokens": 32608, "completion_tokens": 132, "total_tokens": 32740, "prompt_tokens_details": { "cached_tokens": 31744, "audio_tokens": 0 }, "completion_tokens_details": { "reasoning_tokens": 0, "audio_tokens": 0, "accepted_prediction_tokens": 0, "rejected_prediction_tokens": 0 } }, "service_tier": "default", "system_fingerprint": "fp_50906f2aac" } Prompt Tokens - 32608 |
EMEA healthcare modernization requires policy changeHealthcare IT news - (Thursday November 27, 2025) - Frequent Updates/ Healthcare IT News | |
![]() | EMEA healthcare modernization requires policy change | Healthcare IT News Skip to main content... The modernization of healthcare in the EMEA region hinges on crucial policy changes. As digital transformation accelerates, aligning regulations with technological advancements is essential for improving patient care and operational efficiency. Key areas of focus include data interoperability, cybersecurity measures, and fostering innovation through supportive frameworks. By addressing these policy gaps, stakeholders can enhance collaboration and drive sustainable growth in healthcare systems. Embracing these changes will empower healthcare IT professionals to lead the charge towards a more integrated and responsive healthcare landscape.#HealthcareIT #DigitalTransformation #EMEA #HealthcareInnovation #PolicyChange #Interoperability #Cybersecurity As a healthcare IT expert, write a 100-word extractive summarization based on a blog post from the given text for posting on LinkedIn. The summary should capture key ideas from the entire post and its headings while staying focused, clear, and engaging. Use 5-7 relevant and popular online hashtags that are most likely to drive visibility and engagement. Avoid adding URLs or calls to action, and ensure the language is optimized for LinkedIn engagement style with a variable potential hook or attention-grabbing statement. The target audience is other healthcare IT professionals. Following is the title and text. { "id": "chatcmpl-CgIaUMbq5SeoRLUoo7YsoQvAXyMHS", "object": "chat.completion", "created": 1764197262, "model": "gpt-4o-mini-2024-07-18", "choices": [ { "index": 0, "message": { "role": "assistant", "content": "The modernization of healthcare in the EMEA region hinges on crucial policy changes. As digital transformation accelerates, aligning regulations with technological advancements is essential for improving patient care and operational efficiency. Key areas of focus include data interoperability, cybersecurity measures, and fostering innovation through supportive frameworks. By addressing these policy gaps, stakeholders can enhance collaboration and drive sustainable growth in healthcare systems. Embracing these changes will empower healthcare IT professionals to lead the charge towards a more integrated and responsive healthcare landscape.nn#HealthcareIT #DigitalTransformation #EMEA #HealthcareInnovation #PolicyChange #Interoperability #Cybersecurity", "refusal": null, "annotations": [] }, "logprobs": null, "finish_reason": "stop" } ], "usage": { "prompt_tokens": 268, "completion_tokens": 117, "total_tokens": 385, "prompt_tokens_details": { "cached_tokens": 0, "audio_tokens": 0 }, "completion_tokens_details": { "reasoning_tokens": 0, "audio_tokens": 0, "accepted_prediction_tokens": 0, "rejected_prediction_tokens": 0 } }, "service_tier": "default", "system_fingerprint": "fp_560af6e559" } Prompt Tokens - 268 |
Smartphone-Based Approach-Avoidance Bias Modification Training for Depression: Randomized Clinical TrialJMIR mHealth and uHealth - (Thursday November 27, 2025) - Frequent Updates/ JMIR mHealth and uHealth | |
![]() | Background: Effective treatments for depression are available, yet many patients do not respond to treatment or experience relapse. Cognitive bias modification aims to ameliorate cognitive biases that contribute to the development and maintenance of... Innovative smartphone-based approach-avoidance bias modification training shows promise for long-term depression relief. A recent randomized clinical trial with 75 inpatients revealed that while short-term effects were minimal, significant reductions in depressive symptoms were observed at the 6-month follow-up for those receiving active training. This highlights the potential for mobile interventions in mental health care, offering a feasible solution without complex setups. As we explore the future of digital mental health solutions, understanding the mechanisms behind these long-term changes is crucial.#MentalHealth #DigitalHealth #Depression #HealthcareIT #Innovation #CognitiveTherapy #MobileHealth As a healthcare IT expert, write a 100-word extractive summarization based on a blog post from the given text for posting on LinkedIn. The summary should capture key ideas from the entire post and its headings while staying focused, clear, and engaging. Use 5-7 relevant and popular online hashtags that are most likely to drive visibility and engagement. Avoid adding URLs or calls to action, and ensure the language is optimized for LinkedIn engagement style with a variable potential hook or attention-grabbing statement. The target audience is other healthcare IT professionals. Following is the title and text. { "id": "chatcmpl-CgOBbIvmgo084L1L6cp2ydQyY9MDo", "object": "chat.completion", "created": 1764218783, "model": "gpt-4o-mini-2024-07-18", "choices": [ { "index": 0, "message": { "role": "assistant", "content": "Innovative smartphone-based approach-avoidance bias modification training shows promise for long-term depression relief. A recent randomized clinical trial with 75 inpatients revealed that while short-term effects were minimal, significant reductions in depressive symptoms were observed at the 6-month follow-up for those receiving active training. This highlights the potential for mobile interventions in mental health care, offering a feasible solution without complex setups. As we explore the future of digital mental health solutions, understanding the mechanisms behind these long-term changes is crucial. nn#MentalHealth #DigitalHealth #Depression #HealthcareIT #Innovation #CognitiveTherapy #MobileHealth", "refusal": null, "annotations": [] }, "logprobs": null, "finish_reason": "stop" } ], "usage": { "prompt_tokens": 705, "completion_tokens": 123, "total_tokens": 828, "prompt_tokens_details": { "cached_tokens": 0, "audio_tokens": 0 }, "completion_tokens_details": { "reasoning_tokens": 0, "audio_tokens": 0, "accepted_prediction_tokens": 0, "rejected_prediction_tokens": 0 } }, "service_tier": "default", "system_fingerprint": "fp_560af6e559" } Prompt Tokens - 705 |
Transdiagnostic Cognitive Control Training for Patients Waiting for Outpatient Psychotherapy: Randomized Clinical TrialJMIR mHealth and uHealth - (Thursday November 27, 2025) - Frequent Updates/ JMIR mHealth and uHealth | |
![]() | Background: Various mental disorders are associated with impaired cognitive control, which is crucial for effective emotion regulation. Cognitive control training has demonstrated promise in enhancing emotion regulation and alleviating distress in disorders characterized by... Exciting insights emerge from a recent randomized clinical trial exploring mobile cognitive control training for patients awaiting psychotherapy. While the training did not significantly reduce global mental distress, it demonstrated notable improvements in cognitive control and emotion regulation over time. Specifically, participants showed enhanced cognitive emotion regulation and reduced anxiety symptoms at follow-ups. This pioneering study highlights the potential of cognitive control training in supporting diverse mental health challenges. As we advance in digital mental health solutions, understanding mediating factors will be crucial for refining these interventions.#MentalHealth #CognitiveControl #DigitalHealth #Psychotherapy #EmotionalRegulation #HealthcareIT #ResearchInsights As a healthcare IT expert, write a 100-word extractive summarization based on a blog post from the given text for posting on LinkedIn. The summary should capture key ideas from the entire post and its headings while staying focused, clear, and engaging. Use 5-7 relevant and popular online hashtags that are most likely to drive visibility and engagement. Avoid adding URLs or calls to action, and ensure the language is optimized for LinkedIn engagement style with a variable potential hook or attention-grabbing statement. The target audience is other healthcare IT professionals. Following is the title and text. { "id": "chatcmpl-CgLmgOnVxW7eimtAepHgfEup7AEWD", "object": "chat.completion", "created": 1764209550, "model": "gpt-4o-mini-2024-07-18", "choices": [ { "index": 0, "message": { "role": "assistant", "content": "Exciting insights emerge from a recent randomized clinical trial exploring mobile cognitive control training for patients awaiting psychotherapy. While the training did not significantly reduce global mental distress, it demonstrated notable improvements in cognitive control and emotion regulation over time. Specifically, participants showed enhanced cognitive emotion regulation and reduced anxiety symptoms at follow-ups. This pioneering study highlights the potential of cognitive control training in supporting diverse mental health challenges. As we advance in digital mental health solutions, understanding mediating factors will be crucial for refining these interventions. nn#MentalHealth #CognitiveControl #DigitalHealth #Psychotherapy #EmotionalRegulation #HealthcareIT #ResearchInsights", "refusal": null, "annotations": [] }, "logprobs": null, "finish_reason": "stop" } ], "usage": { "prompt_tokens": 888, "completion_tokens": 123, "total_tokens": 1011, "prompt_tokens_details": { "cached_tokens": 0, "audio_tokens": 0 }, "completion_tokens_details": { "reasoning_tokens": 0, "audio_tokens": 0, "accepted_prediction_tokens": 0, "rejected_prediction_tokens": 0 } }, "service_tier": "default", "system_fingerprint": "fp_560af6e559" } Prompt Tokens - 888 |











